-
- "소아청소년 셋 중 한명 비만군…가당 음료 설탕세 도입 필요"
- "소아청소년 셋 중 한명 비만군…가당 음료 설탕세 도입 필요""확보된 세금, 학교 급식 질 개선·체육활동 지원 등에 투자"국립보건연구원 주최 전문가...
- 2025-08-28
-
- GC녹십자, 코로나19 mRNA 백신 국내 임상 1상 IND 신청
- GC녹십자는 코로나19 mRNA 백신 후보 물질인 'GC4006A'에 대한 국내 임상 1상 임상시험계획서(IND)를 식품의약품안전처에 제출했다고 22일 밝혔다. GC4006A는 질...
- 2025-09-23
-
- "코로나19 확진 소아·청소년, 6개월간 당뇨병 위험 크게 증가"
- "코로나19 확진 소아·청소년, 6개월간 당뇨병 위험 크게 증가"美 연구팀 "과체중·비만·입원 시 당뇨 진단 위험 2~3배 높아"코로나19(신종 코로나바...
- 2024-10-16
-
- 아이진, 유바이오로직스와 ‘수막구균 4가’ 백신 개발 및 국내외 독점판매 계약 체결
- 바이오의약품 개발 기업 아이진(대표이사 최석근)이 유바이오로직스가 개발 중인 ‘수막구균 4가’ 백신의 허가 임상 개발 및 독점판매 계약을 체결했...
- 2024-07-03
-
- [ForDoc Drug] 렉라자, 대한민국 폐암 치료의 새로운 지평을 열다
- 폐암은 대한민국 국민에게 가장 치명적인 암. 수년째 암 사망률 1위라는 불명예를 안고 있다. 2021년 한 해에만 약 2만 8천 명의 새로운 폐암 환자가 발생했고, ...
- 2025-10-15
-
- [ForDoc Health] 100세 시대의 그림자, 관절염: 통증의 굴레를 끊는 최신 치료와 제약업계의 혁신
- 100세 시대, 장수는 인류에게 축복이지만, 그 이면에는 노년의 삶을 위협하는 만성 질환이라는 그림자가 드리워져 있습니다. 그중에서도 관절염은 건강한 노...
- 2025-09-18
-
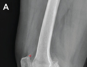
- '정강이뼈 뒤로 얼마나 기울었나' AI가 자동으로 측정
- '정강이뼈 뒤로 얼마나 기울었나' AI가 자동으로 측정서울대병원, 무릎 수술 예후 핵심 지표 계산 모델 개발무릎 관절의 안정성 등에 관여하는 정강이뼈(...
- 2025-08-27
-
- 보건복지 종사자 성희롱·성폭력 피해, 이제 혼자 고민하지 마세요
- 보건복지부가 보건복지 분야 종사자들의 직장 내 성희롱·성폭력 피해를 해결하기 위해 관계 부처와 협력을 강화하고 나섰다. 보건복지부는 고용노동부,...
- 2025-09-09
-
- 한미약품 “라본디, 폐경 후 골감소증 치료에 유용한 처방 옵션”
- 한미약품이 자체 개발한 골다공증 치료제 ‘라본디’의 임상 4상 연구 결과가 미국골대사학회(ASBMR)의 오픈 엑세스 저널인 JBMR Plus(Impact Factor : 3.4) 최신...
- 2024-07-24
-
- 국내 의료 방사선 검사 건수 및 피폭량 지속 증가…CT 검사에 따른 높은 피폭량 주의보
- 2024년 우리나라 국민의 의료 방사선 검사 건수와 피폭선량이 지속적으로 증가하고 있는 것으로 나타났다. 질병관리청이 2025년 8월 27일 발표한 보도자료에 따...
- 2025-08-27
-
- SK바이오팜 "美 신경학회서 세노바메이트 발작감소 연구 발표"
- SK바이오팜 "美 신경학회서 세노바메이트 발작감소 연구 발표"SK바이오팜[326030]은 미국 자회사 SK라이프사이언스가 5~9일(현지시간) 미국 캘리포니아주 샌디에...
- 2025-04-08
-
- 렉라자 FDA 승인으로 주목받는 표적항암제…국내 개발 현황은
- 렉라자 FDA 승인으로 주목받는 표적항암제…국내 개발 현황은유한양행[000100]의 폐암 치료제 '렉라자'(성분명 레이저티닙)가 국산 항암제로는 처음으...
- 2024-08-26
-
- 한미약품, '근육 증가' 신개념 비만 신약 美 임상 돌입
- 한미약품이 근육량 증가와 지방 선택적 감소를 동시에 구현하는 신개념 비만 치료제 'LA-UCN2(HM17321)'의 미국 임상 1상 시험계획(IND)을 미국 식품의약국(FDA)에 신...
- 2025-10-02
-
- 대웅제약, 나보타 콜롬비아 시장 진출로 중남미 시장 공략 가속화
- ㈜대웅제약(대표 박성수·이창재)이 보툴리눔 톡신 제제 ‘나보타(NABOTA)’의 중남미 시장 확장을 위해 콜롬비아 제약사 발렌텍 파르마(Valentech Pharm...
- 2025-08-27
-
- AI 심리상담 기기로 마음 챙긴다… 넥스브이, 서리풀페스티벌에서 체험관 운영
- 헬스케어 인공지능(AI) 전문업체 넥스브이는 오는 28일~29일 서울 반포대로에서 개최되는 ‘서리풀페스티벌’에 참가해 인공지능 심리상담 기기 체험관...
- 2024-09-28
-
- 의협 "美, KP.2 변이 백신 허가…정부 확보 백신 최적 맞나"
- 의협 "美, KP.2 변이 백신 허가…정부 확보 백신 최적 맞나"질병청 "WHO, JN.1 백신 권고…미국·캐나다 제외 대부분 국가서 JN.1 채택"대한의사협회(의...
- 2024-08-27
-
- 한미사이언스-한미약품, 나이스신평 ‘AA-’ 획득...업계 최고 수준
- 한미그룹 지주회사 한미사이언스와 핵심 사업회사 한미약품이 국내 3대 신용평가사중 하나인 나이스신용평가로부터 기업 신용등급 ‘AA-’(안정적)를 ...
- 2025-10-15
-
- [김길원의 헬스노트] 의료계 내시경 주도권 갈등…"환자는 어디에 있나"
- [김길원의 헬스노트] 의료계 내시경 주도권 갈등…"환자는 어디에 있나"내시경학회 주도에 대장항문학회 등 반발…"내시경검사, 특정 직역 전유물 아...
- 2025-09-09
-
- 보건의료 빅데이터 플랫폼, 병무청 데이터 추가로 청년층 건강 연구 ‘날개’ 달았다
- 보건복지부(장관 정은경)와 병무청(청장 홍소영)이 보건의료 빅데이터 플랫폼에 병무청 데이터를 추가 연계하기로 합의했다. 이번 협력은 보건의료 연구 활성...
- 2025-09-03
-
- 의사 국시 실기에 1천450명 신청…"의정 갈등 전의 45% 수준"
- 의사 국시 실기에 1천450명 신청…"의정 갈등 전의 45% 수준"작년의 3.8배…본과 4학년생 복귀 늘고 예비시험 합격자도 증가올해 269명 그친 신규 의사, 내...
- 2025-07-30